91岁的刘爱华(化名)老人多年前就查出子宫脱垂,一直拖着没做手术。近日,老人因严重尿潴留、泌尿系感染,意识模糊,被家人紧急送至香港马会app (南华大学附属香港马会app )。检查发现,其子宫脱垂已导致尿道完全梗阻,膀胱高度膨胀,且脱垂组织因长期摩擦导致严重溃烂、感染,病情危急。
不畏困难,多学科合作,挑战高龄手术禁区
“患者20余年前就因咳嗽后溢尿就医,诊断出子宫脱垂,因为担心手术风险一直没有接受治疗,半个月之前老人出现尿频、尿痛、排尿困难,忍着没和家里人说,直到6月4日,发现有肿块从阴道口脱出,内裤上有血迹才被家人送医。”据香港马会app 妇产科三区主任魏馨介绍,经检查发现患者为子宫脱垂三度(Ⅳ期),子宫和阴道前后壁完全脱出阴道口,由于脱出的组织压迫尿道,造成尿道梗阻、尿潴留、泌尿系感染,同时还合并有支气管扩张并感染、低蛋白血症、轻度贫血等情况。

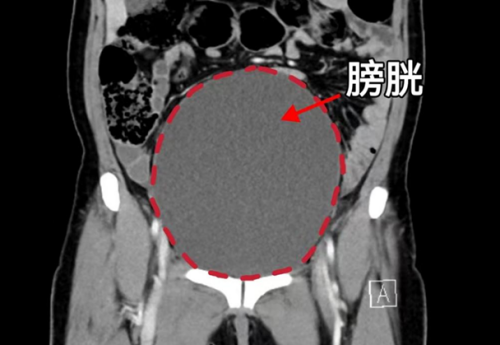
CT显示膀胱高度膨胀、尿道梗阻
“高龄患者多器官功能衰退、有严重的泌尿系感染和其他多种并发症、麻醉耐受差,手术中稍有不慎便可能引发心肺衰竭。但若不及时干预,感染继续加重将危及生命。”魏馨主任表示,只要有一线生机就不能退缩。团队迅速启动多学科协作:药学部制定抗感染方案全力控制感染,麻醉科精准评估心肺功能,护理团队定制术后康复方案。
经周密抗感染治疗后,老人生命体征趋于平稳,完善术前准备后,手术团队为老人实施吸入麻醉下“脱垂子宫切除+阴道封闭术”,同步进行抗尿失禁手术,以最小麻醉风险和手术创伤彻底解决病根。手术台上,麻醉科专家精准调控药量,全程护航生命体征;妇产科团队凭借毫米级精细操作,避开脆弱血管与神经,仅用1.5小时便成功完成手术。术后老人生命体征平稳,未进ICU直接安返病房,刷新科室高龄手术康复纪录。
术后第3天,刘奶奶已能自如排尿,彻底告别尿湿衣裤的尴尬。手术不仅解除了生命危机,更让老人重拾尊严,如今她可自主活动,生活质量显著提升。
“超高龄不是手术绝对禁区,关键在于个体化评估与多学科协作。”魏馨主任强调。此次手术的成功,既依托于医院妇产科在盆底手术领域的深厚技术积淀,更展现了多学科团队紧密合作水平。从风险预警到应急预案,从微创术式到快速康复,每一个环节都凝聚着对高龄患者的关爱。
子宫脱垂早诊早治,莫让“难言之隐”酿成大患
魏馨主任介绍,子宫脱垂,简单来说就是子宫从正常位置沿着阴道下降,甚至脱出阴道口外。子宫脱垂多见于中老年女性,但是很多患病女性因早期尿失禁羞于启齿,能够及时就医的不足20%。国内国际目前统一根据盆腔器官脱垂定量(POP-Q)分度法进行分类,包含I期、Ⅱ期、Ⅲ期和Ⅳ期。前三期子宫脱垂可以在休息后用手回纳至身体内,而Ⅳ期子宫脱垂则往往嵌顿在身体外面,导致尿道受压梗阻,排尿困难、泌尿系感染等严重后果。因此,早期发现,及早干预和接受治疗很重要。

子宫脱垂的分度
如何早期发现和预防子宫脱垂?
子宫脱垂最明显的症状是患者会感觉有肿物从阴道脱出,初期可能在站立、行走、劳累后出现,休息后能自行回缩。但随着病情发展,肿物可能一直脱在外面,影响行动,还容易因摩擦导致溃疡、出血。其次表现为腰骶部酸痛和泌尿系统症状,当子宫脱垂压迫膀胱和尿道,导致尿频、尿急、排尿困难,甚至出现压力性尿失禁。
预防子宫脱垂应积极治疗慢性疾病如慢性咳嗽、长期便秘等;避免重体力劳动,尽量不要搬抬重物,避免长时间站立或下蹲;坚持盆底肌锻炼:无论是否已经出现子宫脱垂,更年期女性都应坚持做盆底肌锻炼。注意营养均衡:保证摄入足够的蛋白质、维生素和矿物质,增强身体抵抗力,维持肌肉和筋膜的健康。
供稿丨妇产科 申景欣 宣传部 朱文青
一审丨妇产科 魏馨
二审丨宣传部 李晶
三审丨宣传部 周阳