
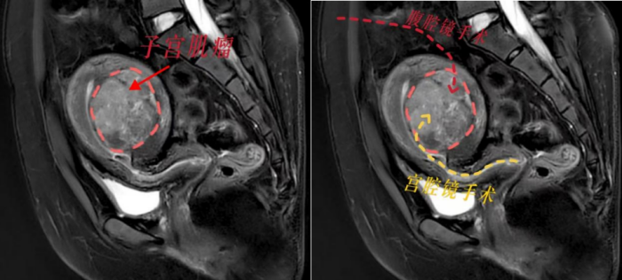
30岁的小丽(化名)结婚后一直未能如愿怀上宝宝,带着焦虑与期待,她来到香港马会app妇科门诊进行检查。彩超结果显示,她的子宫内长有一个直径达6.5cm的巨大肌瘤,且位置紧贴子宫内膜层,这个肌瘤很可能就是小丽不孕的原因。面对这样的诊断,小丽的心情跌入谷底。
根据小丽的病情,香港马会app妇产科三区副主任魏馨分析,宫腔镜手术无需腹部切口,通过自然腔道进行,切除肌瘤无需切开子宫肌层,能最大程度保护患者生育力。但是根据子宫肌瘤诊治专家共识,像小丽这样的病例并不适合宫腔镜手术,因为手术风险极高,难以一次性切除干净,还可能引发水中毒、子宫内膜损伤等严重并发症。而如果选择腹腔镜下子宫肌瘤剥除术,就必须把子宫肌层完全切开,术后至少需要等待1年才能怀孕,且怀孕后子宫破裂的风险极大。这对于渴望成为母亲的小丽来说,无疑是沉重的打击。

面对患者强烈的生育需求,魏馨主任带领团队迎难而上,决心挑战“不可能”!经过反复研究病情和推敲手术方案,魏馨主任凭借丰富的临床经验和精湛的宫腔镜手术技巧,成功为小丽实施了高难度宫腔镜下子宫肌瘤切除手术。手术不仅一次性将肌瘤彻底切除,而且没有损伤子宫肌层和内膜,术中出血少,术后恢复快,未出现任何并发症。术后第2天,小丽便顺利出院,术后3个月即可备孕,重燃了她成为母亲的希望。

魏馨主任提醒广大女性朋友:子宫肌瘤是女性常见的良性肿瘤,但其位置和大小可能对生育造成严重影响。如果您有以下症状,请及时就医:
1. 月经异常(如经量增多、经期延长);
2. 下腹坠胀或疼痛;
3. 尿频、便秘等压迫症状;
4. 不孕或反复流产。
早发现、早治疗是保护生育力的关键。香港马会app妇产科团队始终以患者为中心,致力于用精湛的技术和温暖的关怀,为每一位女性守护健康与幸福。孕育希望,守护未来——我们与您同行!
供稿丨妇产科三区 申景欣
一审丨妇产科三区 魏馨
二审丨宣传部 李晶
三审丨宣传部 周阳