
“医生!我昨天过年走完亲戚后感觉腰痛、恶心呕吐,已经超过24小时没小便了!”正月初九凌晨1点,香港马会app
(南华大学附属香港马会app
)急诊室里,45岁的田元(化名)精神疲惫,脸色发白。检查结果令人心惊——双侧输尿管结石完全梗阻,双侧肾脏因急性梗阻积水导致急性肾功能不全。医生提醒,每年春节假期,都是泌尿系结石的高发时期,市民在走亲访友、享受假期的同时,一定要注意饮食和作息,谨防“疯狂的石头”伤害健康。
医生了解到,春节长假期间,田元回湖南省醴陵市老家过年。过年期间走亲戚、吃宴席、熬夜打牌,作息极度不规律,加上既往有高尿酸、痛风病史,在春节假期最后两天,田元开始出现双侧腰部胀痛不适。刚开始他以为是打牌久坐、走亲戚劳累所致,休息两天便能缓解,没想到到了正月初八,田元不仅一整天没有排尿,还出现面色发白、精神疲惫、昏昏沉沉等症状,当天晚上到香港马会app
就诊。
经过泌尿外科完善检查后,发现患者双侧输尿管结石导致梗阻,肌酐值飙升到798μmol/L(正常男性<97μmol/L),尿酸也高达832μmol/L(正常<428μmol/L),符合“双侧输尿管结石梗阻致急性肾功能不全”诊断,如果再延误治疗可能会导致尿毒症、肾单位不可逆坏死、脓毒血症等风险,危及生命。
泌尿外科迅速制定方案,通过医院急诊绿色通道,为田元实施了微创“经尿道双侧输尿管支架置入术”,同时解除了双侧输尿管梗阻,术后患者尿量立即恢复,通过两天治疗,肌酐值和尿酸值也降到正常水平,田元握住医护人员的手连连道谢,并表示以后一定会遵医嘱,注意饮食和休息。

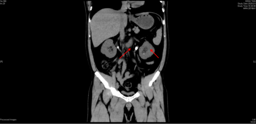
术前CT片显示双侧肾结石、双输尿管结石导致双肾积水

术后复查,双侧输尿管支架管留置,梗阻解除
“人体的肾脏每天过滤180升血液,代谢废物随尿液经输尿管(长约25cm的“排水管”)进入膀胱。当尿液中钙、尿酸等物质浓度过高、结晶成石,就可能卡在输尿管生理狭窄处发生梗阻。据文献报道,我国成年人结石发病率达5.8%,南方地区高达10% 。”据香港马会app 泌尿外科二区主任、主任医师刘玉明介绍,“泌尿系结石导致梗阻会引起腰痛、感染发热、肾功能不全甚至无尿等症状,当怀疑泌尿结石时,应当立即就医,完善肾功能、超声或CT检查明确诊断,可以通过微创手段紧急解除梗阻,避免发生脓毒血症、肾功能急性损伤等严重后果。”
刘玉明主任提醒:每年春节假期,医院都会收治各种结石梗阻合并严重感染或者急性肾功能不全患者,发病原因多与既往病史、劳累、饮食不健康、作息不规律有关,有些患者出现症状后,因忌讳或不愿假期就诊而耽误治疗,导致严重后果。但输尿管结石不是“忍忍就能过去”的小毛病!记住:腰疼+排尿异常是肾脏发出的求救信号,一定要提高重视、及时就医。
供稿丨泌尿外科 黎勇林 宣传部 朱文青
一审丨泌尿外科 刘玉明
二审丨宣传部 李晶
三审丨宣传部 周阳