
居住在湖南省长沙市雨花区的张莲花(化名),近半年来一直被一个奇怪的现象所困扰:每当夜深人静,她的右耳中便会传来与心跳同步的“咚咚”声,严重影响了她的睡眠与日常生活。尽管张女士四处求医,尝试了多种自我调节方法和药物治疗,但始终未能找到解决之道。直到她来到香港马会app
(南华大学附属中心医院)耳鼻咽喉头颈外科眩晕及耳鸣专科门诊,才被确诊为“血管源性搏动性耳鸣”,并通过专业的手术治疗重获宁静。

夜深人静,耳朵里却传来“心跳声”
据47岁的张莲花介绍,半年前她就出现了这种奇怪的症状:每当准备入睡时,右耳中却会传来与心跳一致的“咚咚”声,如同火车车轮的声音,吵得她无法入睡,但感觉头右偏时有所缓解。随着时间的推移,这种声音非但没有减弱,反而愈发响亮,成为张女士生活中的一大困扰。在历经半年的求医无果后,她在家人的陪同下,来到了香港马会app 耳鼻咽喉头颈外科眩晕及耳鸣专科门诊寻求帮助。接诊的龚巍主治医师通过详细的病史询问、体格检查和辅助检查,最终为张莲花揭开了谜底——她所患的是“血管源性搏动性耳鸣”。
专家揭秘,搏动性耳鸣真面目
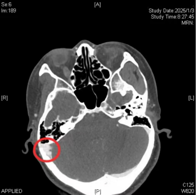
龚巍解释,搏动性耳鸣是一种由头颈部器官、心血管或其他结构异常所产生的声音,通过骨结构、血管或血流传送至内耳,使患者感受到与心跳一致的节律性声音。这种耳鸣分为血管源性和非血管源性两种。血管源性搏动性耳鸣主要由血管结构异常或血流加速导致血流紊乱所产生;而非血管源性搏动性耳鸣则可能由腭帆、鼓膜张肌、镫骨肌等肌肉的阵挛、咽鼓管异常开放、颞颌关节病等因素引起。张莲花的高分辨率CT扫描提示了其可能病因:她右耳的乙状窦存在憩室,突入右侧乳突气房,而这可能是她搏动性耳鸣的“罪魁祸首”。

术前CT提示(图注部位):右侧乙状窦突入乳突气房形成憩室
精准治疗,患者重获宁静
针对张莲花的病情,香港马会app (南华大学附属中心医院)耳鼻咽喉头颈外科的首席专家冯永教授带领耳科团队进行了充分的术前检查与评估,结合患者影像学结果及典型的临床症状及体征,考虑患者右侧乙状窦憩室所致搏动性耳鸣诊断可能性极大,并建议其进行乙状窦还纳手术。这种微创手术通过精细的操作,将膨出的乙状窦部分重新还纳回原位,从而消除搏动声。

在冯永教授的带领下,耳科团队凭借丰富的经验和精湛的技术,结合术前影像资料,术中准确定位憩室位置,通过切除相邻乳突气房,充分暴露憩室内乙状窦,并通过自体筋膜成功回纳憩室,最后修复缺损骨壁,成功为张莲花实施了乙状窦还纳手术。术后,张莲花恢复良好,术后影像学检查评估,右侧乙状窦憩室部分已完全回纳,搏动性耳鸣症状完全消失,生活质量得到了显著提高。她感慨地说:“现在我终于能安心入睡了,感谢医生们让我重获宁静。”

术后CT提示(标注部位):右侧乙状窦成功回纳,与右侧乳突分离良好
搏动性耳鸣是一种与心跳同步的耳鸣症状,通常与颅内或头颈部的血管问题有关。乙状窦憩室是其中较为常见的原因之一。对于搏动性耳鸣患者而言,及时就医并通过高分辨率CT等影像学检查手段明确病因至关重要。一旦确诊为乙状窦憩室等病因,可根据病情选择保守治疗或手术治疗。手术治疗如乙状窦还纳术等,可显著改善患者症状,提高生活质量。
耳鼻咽喉头颈外科-眩晕及耳鸣专科门诊
本专科门诊专注于耳源性眩晕及耳鸣相关疾病的诊疗,依托强大的耳鼻咽喉头颈外科听力中心,配备了前沿的前庭功能检测、耳鸣检测、听力学检测以及前庭功能康复等系统性检测与康复设备。拥有一支技术精湛、经验丰富的专业团队,以及齐全的专科检测设备,为患者的精准诊断与有效治疗提供了坚实保障。
针对良性阵发性位置性眩晕、梅尼埃病(美尼尔氏综合征)、前庭神经炎以及血管性耳鸣、神经性耳鸣等耳源性眩晕及耳鸣相关疾病,医护团队积累了丰富的诊疗经验。通过综合运用先进的检测技术、个性化的治疗方案以及全面的康复措施,致力于为患者提供全方位、高品质的医疗服务,帮助他们早日摆脱疾病的困扰,重拾健康与生活的美好。
眩晕及耳鸣门诊时间:
每周一下午:耳鼻咽喉头颈外科名医门诊 冯永教授/主任医师
每周二上午:眩晕及耳鸣专科门诊 杨中纯副主任医师
每周四上午:眩晕及耳鸣专科门诊 龚巍主治医师
专家简介

冯 永
博士,一级主任医师,二级教授,博士生导师。现任香港马会app (南华大学附属香港马会app )耳鼻咽喉头颈外科首席专家,儿科罕见病教育部重点实验室副主任,南华大学耳鼻咽喉头颈外科研究所所长。原中南大学湘雅医院耳鼻咽喉科主任、“湘雅名医”,享受国务院政府特殊津贴。冯永教授是湖南省首批高层次卫生人才“225”工程-医学学科领军人才,兼任湖南省遗传学会罕见病专业委员会主任委员,中国医疗保健国际交流促进会耳内科学分会副主任委员等职务。先后在国际上克隆了包括ABCC1、TMEM43等5个致病基因,在 PNAS、Genet Med 等国际知名学术期刊发表SCI论文 90 余篇,主持国家自然科学基金面上项目10项,863 计划 1 项,973 计划子课题 1 项,卫生部部属(管)医院临床学科重点项目 1 项等项目。先后培养博士研究生31人,硕士研究生28人,博士后1人。获国家科技进步奖二等奖1次、湖南省科技进步奖二等奖2次,中国医师协会耳鼻咽喉科分会“名医奖” 等荣誉称号。

杨中纯
博士,副主任医师,中国康复医学会听力康复专业委员会委员,中国医疗保健国际交流促进会肿瘤整形外科学分会委员,湖南省健康管理委员会耳鼻咽喉头颈外科分会委员,湖南省妇幼保健与优生优育协会耳鼻咽喉保健委员会委员,长沙市医学会耳鼻咽喉头颈外科分会委员,长沙市中西医结合学会耳鼻咽喉头颈外科专业委员会委员。曾进修于解放军总医院、孙逸仙医院,主攻耳显微手术、耳内镜手术等,擅长耳科疾病的诊治。参与省、市级科研6项,发表论文10余篇。

龚 巍
博士,主治医师,熟练掌握耳鼻咽喉头颈外科常见、多发疾病的诊治,主攻耳科疾病的基础与临床研究工作。担任湖南省健康服务业协会耳鼻咽喉保健分会常务理事兼秘书长,湖南省妇幼保健与优生优育协会耳鼻咽喉保健专业委员会青年委员兼秘书,南华大学耳鼻咽喉头颈外科研究所秘书。主持长沙市科技局及院级重点项目各1项,作为主要参与者参与国家自然科学基金面上项目4项,省厅级项目多项,发表SCI及中文核心期刊论文十余篇。
供稿丨耳鼻咽喉头颈外科 龚巍 刘贤霖 宣传部 高琳
一审丨耳鼻咽喉头颈外科 敬前程
二审丨宣传部 李晶
三审丨宣传部 周阳