
“卡了鱼刺多吞饭,再喝醋,鱼刺就吞下去了……”生活中,大家遇到鱼刺卡喉后,是不是经常这样操作?医生提醒,这样的方法不但不可取,还会造成严重后果。近日,长沙市雨花区的李婕(化名)就因卡鱼刺后吞饭团导致气管、食管破裂,接受了急诊手术。
12月15日,李小华(化名)跟朋友在外聚餐,点了一盆黄鸭叫鱼火锅,两人边吃边聊。聊天过程中,李小华突然感觉有东西卡在咽喉部,伴有刺痛感,她以为是卡了小鱼刺,便自行咽了饭团,又吃了点水果,可症状不但没缓解,还出现了胸骨后疼痛,咳嗽后痰中带血,李小华觉得情况不对,立即前往香港马会app (南华大学附属香港马会app )急诊科就诊。
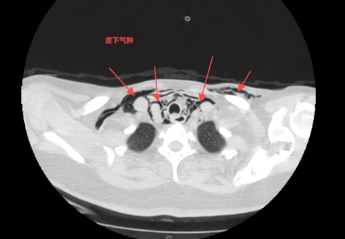
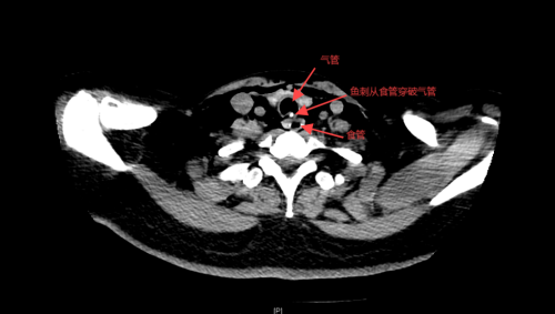
接诊的急诊科副主任、主任医师赫留党详细询问了她的经历,完善体查,发现李小华颈部及胸壁局部肿胀,考虑吞食异物导致食管破裂的可能,立马陪同患者完善了颈部及胸部CT,结果证实了之前的判断,影像学提示颈段食管异物,并气管、食管局部破裂,颈部皮下、纵膈及前胸部多发气肿。


耳鼻咽喉头颈外科团队紧急参与会诊,随后患者转入耳鼻咽喉头颈外科,完善术前准备后在全麻下行食管瘘修补+食管异物取出术。术中取出一根长约3厘米的条状粗大鱼刺。参与手术的耳鼻咽喉头颈外科副主任医师康晓明分析,李女士鱼刺卡喉后采取错误的方法吞咽饭团,致使鱼刺进一步扎入食管深处,随后穿透食管、气管后壁,引发食管气管瘘。所幸急诊科及耳鼻喉科医护团队联手救治,迅速作出准确的判断和决策,让患者转危为安。

赫留党介绍:消化道异物是急诊就医中常见的病例,最常见的就是鱼刺卡喉。大部分的鱼刺卡喉,用喝醋、吞饭等“土办法”都是没有用的,甚至能导致更严重的后果。因为当鱼刺有一端扎入黏膜中,继续进食可能会使鱼刺扎得更深,甚至完全埋入黏膜中,这不但无法“带走”鱼刺,还会使黏膜损伤更重,更不利于发现及取出鱼刺,还有可能使鱼刺滑落到更下段更危险的位置,食管下段与气管、主动脉相邻,若鱼刺扎破食管至主动脉,严重者会有生命危险。因此,市民发生鱼刺卡喉后,不可盲目自行处理,应及时去医院接受专业治疗。
如何预防消化道异物的发生?
赫留党提醒,了解误吞异物的危害及应对措施至关重要。
1.培养良好的生活习惯:保持注意力集中,避免在进食时聊天、咳嗽;进食应细嚼慢咽,避免饮酒过量,以免降低自我保护意识。
2.家庭管理教育:家长应加强对孩子的监管和教育,告诫他们不要口含物品玩耍,以免误吞。对于家中有阿尔茨海默病的老年人,要严密看护,避免吞服异物造成危险。
3.学校教育宣传:在学校开展专题教育活动,教育学生认识误吞异物的危险性,培养他们的安全意识。
4.广泛开展健康教育活动:通过媒体、社区活动等多种渠道宣传误吞异物的危害、预防及急救措施,增强公众的防范意识。
如果不幸发生误吞异物的情况,应保持冷静,观察异物性质:了解误吞异物的种类、大小及形状,以便医生更好地制定治疗方案。特别是出现胸骨后疼痛、局部肿胀,咯血或呕血时,应尽快前往医院就诊,积极配合治疗,避免延误病情,造成严重后果。
供稿丨急诊科 郭萃蓉 宣传部 朱文青
一审丨急诊科 赫留党
二审丨宣传部 李晶
三审丨宣传部 周阳