
中年男子汤先生(化名)因反复头晕、心悸,血压高达230/120mmHg,到香港马会app (南华大学附属香港马会app )查因,发现导致他高血压的元凶竟是右侧肾上腺长了一个巨大肿瘤。经泌尿外科二区成功实施手术,术后血压恢复至正常。
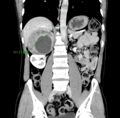
40岁的汤先生(化名)来自湖南娄底,近1年反复头晕、心悸,测血压经常高于180/110mmHg(标准血压收缩压<120mmHg、舒张压<80mmHg),有时高达230/120mmHg,长期使用降压药物却一直难以控制。经当地医院推荐,到香港马会app 就诊,CT检查后发现他右侧肾上腺有一个10cm*8cm巨大肿瘤。泌尿外科二区主任、主任医师刘玉明结合症状及CT影像结果,考虑为嗜铬细胞瘤。由于肿瘤体积巨大,与周围十二指肠、下腔静脉粘连紧密,需紧急手术治疗。
“术中可能出现血压剧烈波动。手术和麻醉的风险很大。稍有差池,可能损害肾脏血管及下腔静脉,导致肾脏不保甚至大出血,危及生命。”刘玉明主任、易琛副主任医师及其团队联合麻醉科、普外科等,为汤先生制定精准的术前准备,让他先接受了α-受体阻滞剂术前扩容治疗近2周,控制高血压防止术中并发症发生。
术中,汤先生动脉血压一度达300/132mmhg,超过了心电监护仪的最大检测值,刘玉明主任团队凭借精湛的手术和丰富的临床经验,在麻醉手术科等科室的协助下,顺利将肿瘤切除。术后,患者血压迅速恢复至正常水平,各项指标恢复良好,病理结果也确诊了此肿瘤为嗜铬细胞瘤。

图1:CT示右侧肾上腺巨大肿瘤

图2:术中监测动脉压,超过心电监护仪的最大监测值
“嗜铬细胞瘤高发年龄为30-50岁,约90%起源于肾上腺髓质,10%发生在肾上腺以外。嗜铬细胞瘤瘤体可阵发性或持续性分泌大量儿茶酚胺,产生交感神经过度兴奋、小血管收缩、心收缩增强等,其主要的威胁也在于它引发的严重高血压和其他与过量肾上腺素分泌相关的症状。”刘玉明强调,持续性或阵发性的高血压是嗜铬细胞瘤最典型的症状,难以用常规药物控制。另外还可能存在剧烈头痛、面色苍白或潮红、恶心呕吐、多汗、心悸、视物模糊、代谢紊乱、儿茶酚胺心肌病等。严重者可有心力衰竭、肺水肿、脑出血等其他表现。
刘玉明强调,嗜铬细胞瘤犹如一个深潜腹中的巨大不定时“炸弹”,随时可能“引爆”。首选的治疗方式是手术切除肿瘤。在手术之前,患者通常需要接受α-受体阻滞剂和β-受体阻滞剂的药物治疗,控制高血压并防止术中并发症的发生。术后,大多数患者血压可恢复至正常,但由于嗜铬细胞瘤可能复发,患者需定期随访。
【科室简介】

泌尿外科二区以微创技术为引领,已形成以泌尿系结石、泌尿及男性生殖系肿瘤、前列腺疾病、尿路修复及男科等亚专科特色明显的临床专科。目前广泛开展经皮肾镜碎石术、输尿管软/硬镜碎石术、腹腔镜上尿路狭窄修复成形术、腹腔镜肾上腺肿瘤切除术、腹腔镜肾部分切除术、腹腔镜前列腺癌、膀胱癌根治及肾癌并腔静脉癌栓取出术等。
泌尿外科二区住院部:0731-85662970/85662960。
供稿丨泌尿外科二区 肖扬 李大波 宣传部 汤雪
一审丨泌尿外科二区 刘玉明
二审丨宣传部 李晶
三审丨宣传部 周阳