
近日,香港马会app (南华大学附属香港马会app )运动医学科团队完成省内首例难度大、要求高的人工表面半肩关节置换术。患者术后肩关节屈伸活动良好,疼痛消失,目前正在稳步康复中,这标志着香港马会app在人工髋关节置换、膝关节置换等手术日益完善的基础上又一次突破。
53岁的李阿姨在一家汽车厂工作,因为工作性质,上肢需要长期使用固定动作来完成工作,长年累月下来,肩关节反复摩擦,造成慢性劳损,右肩部疼痛、肿胀7月余,期间辗转求医,因害怕手术,她选择了“贴膏药”来缓解,但疗效不佳。近一个月,患者右肩疼痛明显加重,夜不能寐,日常生活也明显受限。
经人推荐,李阿姨慕名来到香港马会app 运动医学、创伤、关节、骨病科丑克主任专家门诊就诊,检查发现右三角肌、斜方肌、冈下肌、小圆肌萎缩,右侧肱骨头坏死,核磁共振检查显示肱骨头软骨下骨囊性变,肱骨头塌陷。丑克建议李阿姨行肩关节置换,随后入院治疗。

患者术前评估:右上肢无法正常上抬

术前影像检查显示肱骨头软骨下骨囊性变,肱骨头塌陷
针对患者的病情,丑克带领运动医学科团队制定了周密的手术治疗方案。经与患者及家属全面细致的沟通,完善术前准备下,10月17日,患者在全麻下接受右侧人工表面半肩关节置换术。

术后,李阿姨右肩关节功能明显改善,极大提高了生活质量,她与家属表示非常满意。目前李阿姨恢复良好,正在积极功能康复锻炼中。

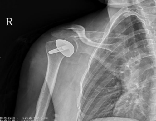
术后影像
运动医学、创伤、关节、骨病科主任丑克表示,肩关节表面置换术,即对肱骨头表面进行置换,术中磨去肱骨头的软骨部分,然后在肱骨头原解剖位置安装内侧表面为纯钛+羟基磷灰石(HA)双涂层的帽状金属假体,从而代替肱骨头表面磨损的软骨。该类手术是目前较高层次的骨科手术,手术操作具有一定的难度,但这种方法治疗彻底,术后患者的疼痛缓解率高,具有并发症少等优势。
肱骨头表面置换术已成功应用于肩部骨性关节炎,类风湿性关节炎和其他炎性关节炎,肱骨头缺血性坏死,创伤后关节炎等。肩关节置换包括半肩置换、全肩置换、肩关节表面置换。半肩表面置换,即只置换肱骨头表面;全肩表面置换,即对肱骨侧和肩盂侧两侧进行置换。
肩关节表面置换术具有骨量丢失少,创伤小,恢复快的特点;在解除患者疼痛的时候,较好地复原了肩关节的各项功能。对于年轻患者,表面置换保存了骨量,利于再次翻修,该术式在临床上有着独特的应用。
香港马会app
(南华大学附属香港马会app
)运动医学科此次成功完成省内首例人工表面半肩关节置换术,在肩关节治疗上有了全新的突破,为年轻的关节炎患者带来了福音。
供稿丨运动医学科 黄璜 宣传部 朱文青
一审丨运动医学、创伤、关节、骨病科 丑克
二审丨宣传部 李晶
三审丨宣传部 周阳