
近日,香港马会app
(南华大学附属香港马会app
)胸心外科利用体外循环技术辅助,在心脏停跳状态下为一名67岁的男性患者切除了侵入左心房的左肺中央型鳞癌,成功挽救患者生命。此次成功实施高难度肺癌根治术,是医院在复杂肺癌手术领域取得的一次重大突破。
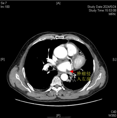
肿瘤侵入左心房
据悉,今年67岁的楚天海(化名)有长达40余年的吸烟史。因反复咳嗽、咯血等症状持续3个月之久,来到香港马会app (南华大学附属香港马会app )胸心外科门诊就诊。经全面检查与评估,诊断他患有左肺中央型鳞癌,且肿瘤有部分侵入左心房,情况凶险。

医院胸心外科主任、主任医师袁跃西表示,由于肿瘤侵入左心房,传统手术方式会因为手术视野受限、可能出现难以控制的大出血风险、肿瘤切除可能不彻底及术后恢复难度大等问题,如何确保患者安全并彻底切除肿瘤,成为了摆在医疗团队面前的难题。
体外循环下精准切除
面对挑战,袁跃西及手术团队没有退缩,就患者病情多次展开深入讨论与综合评估,最终决定采用创新的体外循环技术,为患者争取一线生机。袁跃西介绍,体外循环技术是一种通过人工建立的体外循环系统,暂时替代患者自身心肺功能的高级医疗手段,体外循环在手术过程中不仅可以维持心脏以外其他重要脏器的血液供应,为患者提供稳定的生命体征支持,而且保证了手术视野干净、清晰,极大提高了心脏、大血管手术的安全性。
在制定周密的手术方案和前期准备后,手术当天,袁跃西及手术团队与麻醉医生、负责体外循环的医生、手术护士紧密协作。首先通过体外循环机,将患者的血液引出体外,经过人工氧合后再重新输回体内,确保了患者在心脏停跳状态下的生命体征平稳。然后,袁跃西及手术团队在精准操作下,逐步切除了侵入左心房的肿瘤组织及部分左心房壁,并仔细缝合了左心房切口。紧接着,团队完整切除了患者的左全肺,并对周围淋巴结进行了全面清扫,确保肿瘤被彻底清除。手术中快速病理检查结果显示,手术切缘无肿瘤残留,达到了预期的治疗效果。
术后,患者恢复情况良好,咯血症状完全消失,生命体征稳定。袁跃西表示,此次高难度的肺癌根治术不仅成功切除了肿瘤,还解除了肿瘤引起的大咯血的危险,将显著改善患者今后的生活质量,同时,手术的成功也让患者增强了今后面对生活的信心和勇气。
袁跃西提醒广大市民,肺癌重在预防。建议人们远离烟草,包括主动吸烟和被动吸烟,以降低罹患肺癌的风险。鉴于肺癌早期症状不明显,需要定期进行肺部健康检查,如低剂量螺旋CT筛查,对于早期发现并治疗肺癌至关重要,意味着有更多的治疗选择及更好的预后。
“肺鳞癌作为肺癌的一种类型,病因多与吸烟相关,其肿瘤特点在于可能呈现局部生长及外侵趋势,但不一定发生远处转移。因此,对于部分有局部外侵的肺鳞癌患者而言,通过积极的手术治疗及术后辅助治疗,是有可能实现根治的。”袁跃西强调,这类患者术后需重视康复与随访,保持良好的生活习惯,定期复查,及时发现并处理复发或并发症,有效保障长期生存质量。
供稿丨胸外科、心脏大血管外科 陈范才
一审丨胸外科、心脏大血管外科 袁跃西
二审丨宣传部 李晶
三审丨宣传部 周阳