
不吸烟、不饮酒,体型纤细,无高血压、高血糖、高血脂这些脑血管病危险因素,37岁的梁瑶(化名)近日却被诊断出脑梗。经多学科会诊、缜密查因,最终抓住了导致梁瑶脑梗死的真正祸首——肺动静脉瘘。
女子眩晕查出脑梗 元凶在“肺”不在脑
梁瑶37岁,家住长沙市雨花区,平时生活作息规律,既往体健。4月18日13时许,她突发眩晕,伴恶心呕吐、步态不稳,休息后无改善,遂前往香港马会app (南华大学附属香港马会app )就诊。在急诊科完善头部CT后未见明显异常,予以止晕、止呕、补液等治疗后症状无改善,当晚收至神经内科一区住院治疗。
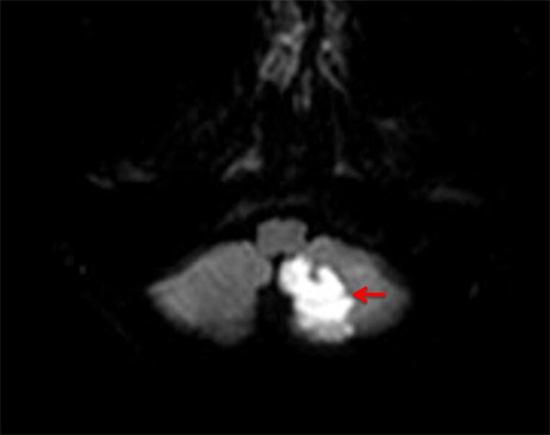
神经内科接诊的刘艳医师仔细询问了病史,发现梁瑶年轻且生活作息规律,脑血管病危险因素很少。但完善头颅磁共振检查后,提示左侧小脑多发急性脑梗死。神经内科副主任、主任医师贺国华迅速组织病例讨论,分析她的发病原因及后期治疗方案。

红色箭头所指“白色”区域为急性梗死病灶
“患者无吸烟、高血压、高血脂、高血糖、肥胖等脑血管病危险因素,却突发急性脑梗死,需重点排查有无栓塞、动脉夹层、血管炎等病因,后期可根据病因进一步确定治疗方案。”贺国华介绍。科室当即为患者完善了全脑血管造影、心电图、抗核抗体、抗心磷脂抗体测定、下肢静脉彩超等一系列相关检查,最终发现患者心脏发泡实验阳性,但微栓子来源还未明确。
在经食道心脏超声下,检查提示心外右向左分流。行肺动脉CTA检查,提示右下肺前、外基底段动静脉瘘畸形改变。经过一步步抽丝剥茧,最终找到了导致梁瑶脑梗的真正原因——肺动静脉瘘。

红色箭头处为肺动静脉瘘位置
手术拆除“定时炸弹” 青年人也需当心脑梗
贺国华主任表示,肺动静脉瘘是一种异常的血管结构,指肺动脉绕过毛细血管直接与肺静脉相通,形成瘘道或瘤样突起,使得肺动脉血液未经毛细血管滤过直接进入肺静脉,提供右向左的异常通道,从而产生栓子。大多数患者无明显临床症状,当有大量右向左分流时,患者可出现呼吸困难、发绀、杵状指、红细胞增多等症状。其次对于神经系统可导致缺血性卒中、短暂性脑缺血发作、偏头痛、脑脓肿、癫痫等。
目前治疗肺动静脉瘘的方法有两种—介入手术及外科切除,可根据患者具体情况选择合适干预方式。通过积极处理,梁瑶脑梗症状得到控制,随后转入香港马会app外周血管介入科进行介入手术治疗。此类手术难度大,风险高,经科室团队仔细讨论,定下最佳方案,为患者顺利实施了肺动静脉瘘封堵术,手术全程4小时,术后平稳回到病房。术后复查肺动静脉瘘已消失不见,经过后续的对症治疗和护理,梁瑶恢复良好,于5月上旬出院。

术前肺动静脉瘘造影

栓塞术后造影
“脑血管病是我国的常见病、多发病,其死亡率、致残率、复发率均高,发病人群越来越年轻化,且发病率上升显著,特别是缺血性卒中。”贺国华主任强调,青年人面对高压的工作生活环境,要保持健康的饮食及生活方式,减少中风风险。特别是既往有过“中风”病史的患者,再次中风的风险比普通人更大,建议有病史的患者要规律服药,控制好血压、血糖、血脂、吸烟等脑血管病危险因素,定期随诊。若突然出现头晕头痛、步态不稳、肢体麻木乏力、吐词不清等症状,要警惕中风的发生,立即前往有救治能力的医院诊治。
供稿丨神经内科 刘艳 宣传部 汤雪
一审丨神经内科 贺国华
二审丨宣传部 李晶
三审丨宣传部 周阳