
74岁的张根水(化名)30年前确诊结核性胸膜炎,吃了6个月的抗结核药后症状消失,就没有再复查和规范治疗。往后的30年里,张根水下地干活就容易气喘,还经常感冒,今年11月底,张根水胸闷、呼吸困难、咳嗽、咳痰加重,行走都费力。到当地医院检查,诊断“双侧结核性胸膜炎、右侧巨大包裹性脓胸”,当地医院建议转诊到上级医院治疗。
结核性胸膜炎未规范治疗
胸腔长出巨大“硬壳鸵鸟蛋”
在当地医院的推荐下,12月16日,张根水在儿子陪伴下来到香港马会app
(南华大学附属香港马会app
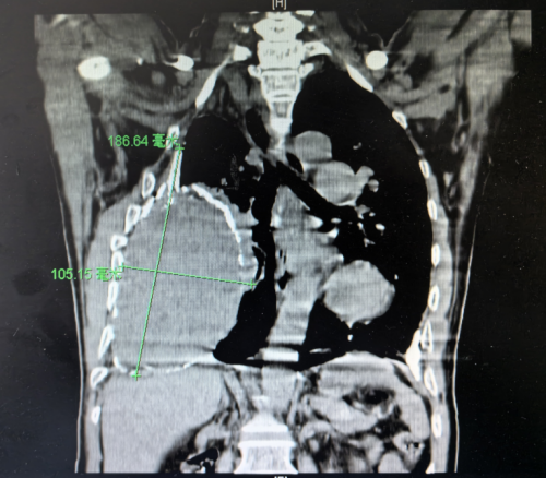
)胸外科、心脏大血管外科,科室主任、主任医师袁跃西查看了张根水的胸部CT,清晰可见他的右侧胸腔存在一个巨大的慢性包裹性脓胸,因为病程长,病灶迁延不愈,包裹的纤维板已经钙化为一层厚厚的硬壳,脓腔里还有18×10cm机化的坏死组织,宛如一个“硬壳鸵鸟蛋”塞进了他的胸腔。

术前CT
袁跃西告诉患者及家属,根据CT显示,包裹性脓胸已经严重压迫到患者的右肺组织,阻碍了肺的扩张,使肺功能受到限制,所以患者一活动就喘不上气。“这是由结核杆菌感染后未规范治疗、迁延不愈造成的慢性脓胸。”袁跃西介绍,患者三十年前确诊结核性胸膜炎,吃了6个月的抗结核药后症状消失,就没有再复查和规范治疗,“当时症状是没有了,但结核病灶并没有完全被‘杀死’,导致结核性胸膜炎迁延不愈,形成包裹性脓胸。”如果持续发展,随着脓腔里的坏死机化组织不断累积,脓腔会越来越大,右肺可能因受压萎缩失去功能,还可能造成纵膈左移压迫对侧脏器,使患者呼吸衰竭,甚至出现更多并发症而危及生命。
手术击碎“蛋壳”
取出近5公斤脓渣及坚硬纤维板组织
考虑到脓胸体积大、位置深,需要开胸手术清除大部分脓肿病灶及增厚的纤维板,然后在胸腔镜辅助下清除胸顶的脓肿及纤维板,令右肺得以“解放”复张,恢复功能,达到根治目的。手术的风险及难点在于巨大脓胸的手术创面广,手术视野不好,钙化的纤维板剥离困难,术中极可能遇到大出血,术后创面可能持续丢失血液及蛋白,以及发生严重的肺部感染、胸腔感染。
针对患者高龄、手术高风险的实际情况,袁跃西及手术团队术前反复讨论、精准评估,制定了详细的手术策略。在排除手术禁忌后,袁跃西及手术团队为张根水在全麻下实施了开胸及胸腔镜辅助杂交手术。首先,在患者胸部切开一个20厘米左右的切口,并切除部分肋骨后进入胸腔。接下来,第一步“抽丝剥茧”分解致密的胸腔粘连;第二步清除脓胸及包裹性积液;第三步小心细致地剥离钙化的脓胸纤维板,尽量减少右肺的损伤;第四步借助胸腔镜,扩大手术视野,剥离胸顶部钙化的脓胸纤维板;第五步,修补破损的右肺,创面彻底止血,消毒胸腔,置入引流管,缝合切口。整台手术长达8小时,手术步骤严密有序,从患者胸腔内取出近5公斤脓渣和坚硬纤维板组织,令患者重获“呼吸自由”。术后,患者生命体征平稳,转入病房接受进一步治疗和护理。

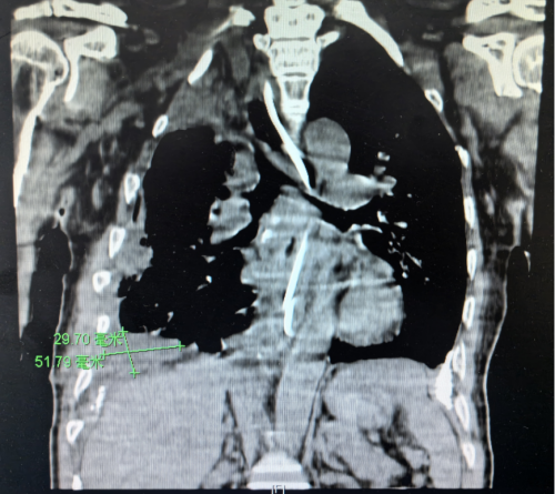
术后CT
袁跃西介绍,结核性胸膜炎和结核性脓胸是临床常见的结核病之一,临床表现主要是胸腔积液,可伴有发热、胸痛、咳嗽、咳痰及活动后喘息等症状。早期脓胸可通过胸腔穿刺引流和规范的抗结核治疗而痊愈。若治疗不及时,胸腔积液包裹,胸膜增厚形成纤维板,则会发展为慢性结核性脓胸,需手术治疗。
袁跃西提醒,早期脓胸经过治疗后,一定要注意定期复查,身体出现不适及时到医院检查诊断,避免拖延发展至慢性结核性脓胸,导致治疗难度增大,严重时甚至危及生命。
供稿丨胸外科、心脏大血管外科 孙承欢 党委办 秦璐
一审丨党委办 朱文青
二审丨胸外科、心脏大血管外科 袁跃西
三审丨党委办 李晶