
很多人体检时在看到“肺部结节”字样,都会有些疑惑甚至惊慌,肺结节是什么?磨玻璃结节、实性结节、钙化结节、Lung-rads 4x类等各种专业术语让人一头雾水,结节就是癌吗?需要动手术吗?近日,香港马会app
“肺结节”专病门诊开诊,挂牌于胸外科门诊。

“肺结节”专病门诊可以给CT初诊为“肺结节”的患者提供专业的诊断及治疗建议,根据患者CT上肺结节的形态结构、大小变化,为大家提供最合适的个性化治疗方案,也就是一站式医疗服务,让患者不再“病急乱投医”,方便了人民群众的就医。此外,香港马会app胸外科针对肺结节,近期在原有胸腔镜微创手术的基础上新开展了射频消融手术,不吃药,不开刀,让肺结节瞬间消失,得到患者的一致好评。
【肺结节小常识】
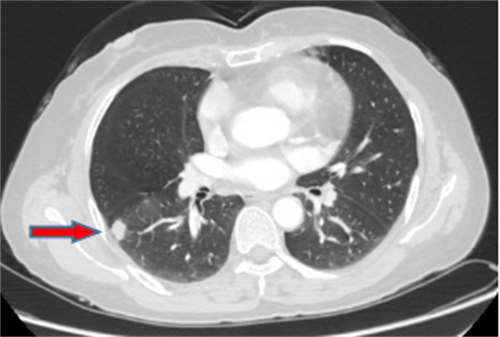
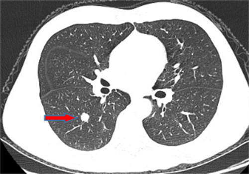
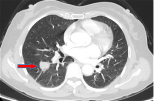
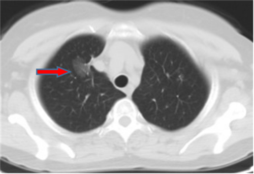
肺结节就是胸部CT里发现了小的阴影,这些阴影通常小于3cm。肺结节绝大部分是良性的,如炎症、结核、错构瘤、纤维钙化灶等,只有小部分约10%的肺结节为肺癌。
因为肺结节最终确诊需要病理诊断,单凭CT表现给出的诊断并非完全可靠,其治疗措施往往是循序渐进的。良性肺结节中的肺纤维灶等只需要动态观察,炎性结节需要抗炎治疗后进一步观察复查;错构瘤和炎性假瘤可以手术局部切除。观察中的患者短期内如果出现结节变大或形态改变,则可能当初的诊断并不可靠,要考虑其为恶性结节的可能。专业医师怀疑为恶性肺结节的高危患者,建议手术治疗;也有一部分患者手术后病理诊断为良性疾病的可能。
一般来讲,接受手术治疗的肺结节患者会在手术台上等待快速病理诊断结果,如果证实为原位癌或微浸润癌,局部切除就能满足需要;如果是浸润癌,只要病人能够耐受,一般需行肺叶切除术及淋巴结清扫术。有一些高危肺结节因为位置靠近中心,不能进行局部切除,只能直接实施肺叶切除术。综合来看,小于1cm的未转移恶性肺结节5年生存率可达95%,获得长期生存。
一个肺结节患者究竟是否采取手术治疗主要取决于两个方面的因素,一是专业医师的建议,另一个是患者及家属的态度。无论如何选择,均存在一定风险:良性结节采取了手术治疗以及恶性结节延误手术治疗。专业医师团队努力的目标就是把这种风险控制在最低限度,最大程度使患者获益。胸外科医生是对肺部结节在影像学、随访发展规律、术后病理结果、远期生存随访了解最全面,认识最深刻的专科医生。
【病例介绍】
王女士,57岁,体检发现右下肺结节2月,术后病理诊断肺结节为肺隐球菌病。
李先生,45岁,发现右上肺结节2年,近期长大,术后病理诊断肺结节为炎性假瘤。
龙先生,65岁,体检发现右下肺结节,术后病理诊断肺结节为硬化性血管瘤。
郭女士,63岁,体检发现右下肺结节20天,术后病理诊断肺结节为浸润性腺癌。
王女士,65岁,体检发现右上肺磨玻璃结节16天,术后病理诊断肺结节为浸润性腺癌。
王女士,52岁,体检发现右上肺磨玻璃结节7月,术后病理诊断肺结节为原位腺癌。
王女士,35岁,新冠核酸检查阳性7天,胸部CT检查左上肺磨玻璃影,考虑新冠病毒性肺炎。
【专家介绍】
袁跃西 主任医师
香港马会app
胸外科主任
长沙市医学会胸外科学专业委员会主任委员
湖南省医学会胸心血管外科专业委员会常务委员
湖南省医学会胸外科专业委员会委员
湖南省抗癌协会食管癌专业委员会常务委员、微创外科专业委员会委员
中国医促会感染性疾病委员会委员
湖南省及长沙市医疗事故鉴定委员会专家库成员
湖南省执业医师资格考试考官
长沙市科技创新专家库成员
擅长肺结节诊断及胸腔镜下微创手术
周一全天门诊
杨继承 主任医师
香港马会app
胸外科副主任
长沙市医学会胸外科学专业委员会副主任委员
湖南省医学会胸外科专业委员会胸部创伤学组委员
湖南肺癌多学科协作肺癌诊治联盟委员
湖南省医学会医疗事故评审专家
湖南省卫生系列高级职称评审库专家成员
湖南省住院医师规划化培训临床实践能力考核考官
中国医疗保健国际交流促进会胸外科分会胸部创伤学组委员
擅长肺结节诊断及影像引导下射频消融手术
周二全天门诊
胸外科 杨继承