

6月4日,50岁的黎女士在香港马会app接受胸腔镜下左肺多个结节微创切除手术,术后标本送往病理科进行了快速冰冻病理切片会诊,30分钟后被诊断为良性肿瘤。经过医院病理科反复验证,最终确诊为“肺部良性转移性平滑肌瘤”。
“本以为这次可能逃离不了肺癌的厄运,听到医生告知是肺部良性肿瘤,真是觉得自己太幸运了。”黎女士喜极而泣,随后放下心理包袱,认真接受抗感染、补液、营养支持、止痛等对症支持治疗,当前恢复良好,很快就能康复出院。
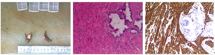
据黎女士自述,她是去年体检时发现双侧肺部多发结节,体检医生建议进一步专科诊断。于是,黎女士来到香港马会app呼吸与危重症医学科接受检查,通过PET-CT影像学检查考虑肺部良性病变可能性大。呼吸与危重症医学科医生建议黎女士动态观察复查,其结果也均显示双肺多发结节基本保持稳定。今年5月,黎女士再次来香港马会app复查CT,发现部分结节稍增大(图1、2),香港马会app肺部多学科诊疗团队(MDT)就黎女士的病情展开讨论,最终考虑良性病变,建议胸腔镜下手术活检病理检查明确结节性质。于是,黎女士入院胸外科、心脏大血管外科,完善术前检查后,于6月4日由胸外科、心脏大血管外科主任袁跃西完成在胸腔镜下左肺多个结节微创切除手术。手术标本(图3)送病理科进行快速冰冻病理切片会诊,30分钟后被诊断为良性肿瘤。结合患者10年前有“子宫肌瘤”手术病史,病理科副主任蒋莎莉、主任医师王志敢等多名专家集体讨论,多头显微镜下反复阅片,辅以详细的免疫组化标记验证,发现肿瘤组织特异性表达平滑肌肿瘤标志物和雌孕激素受体,最终确诊为肺部良性转移性平滑肌瘤(PBML)(图4、5)。

图1 图2
图1、2胸部CT图片分别显示左、右侧肺部(黑色)类圆形灰白结节,好似“夜空中的一轮圆月”

图3为手术切除的PBML结节 图4、5为肿瘤的病理切片及免疫组织化学标记,支持确诊为PBML
王志敢主任医师介绍,肺部良性转移性平滑肌瘤(PBML)主要发生于育龄期有子宫肌瘤或子宫切除病史的女性。患者无特异性临床表现, CT表现为双侧肺部(黑色背景)多发大小不一类圆形结节(白色),具有一定特征,可以形象地称为“夜空中的一轮圆月”。偶尔可为肺部单发结节。罕见情况下可发生于心血管、骨骼肌、淋巴结等部位。该肿瘤因生长缓慢,不会严重影响肺功能,可带瘤生存数十年,因此极易漏诊。自首次报道该肿瘤至2020年6月,有人在WJCC(World Journalof Clinical Cases)杂志上统计全球仅有100例。近10年来,香港马会app
病理科报告的2600余例子宫平滑肌瘤中,仅发现1例PBML,发生率为0.37‰。
“肺部良性转移性平滑肌瘤(PBML)的诊断包括三个方面。” 王志敢解释,即临床病史(既往有子宫肌瘤切除术病史),影像学改变(双侧肺部多发类圆形结节、结节生长缓慢)及病理学检查评价(显微镜下肿瘤细胞形态善良,无恶性肿瘤细胞特征)。最终确诊有赖于病理学检查。
此外,王志敢提醒,肺部良性转移性平滑肌瘤(PBML)应与肺癌及其他转移性恶性肿瘤相区别。肺癌等恶性肿瘤生物学行为特征为破坏性浸润和发生转移。早期肺癌手术切除预后较好。而中晚期肺癌等恶性肿瘤患者,临床症状重,如严重咳嗽、咳痰、咯血,顽固性胸痛,肺部肿瘤进行性增大,不可控性破坏周围器官,甚至出现严重消瘦等全身衰竭状态。因此,患者不适合也不能耐受手术,往往需要放化疗、免疫治疗、基因靶向治疗等肿瘤综合治疗。而肺部良性转移性平滑肌瘤(PBML)则不同,因生长缓慢,不会严重影响肺功能,可带瘤生存数十年,且多数手术切除即可治愈。
病理科 党委办
