香港马会app新闻
61岁的张桐(化名)因不明原因出现呼吸困难,症状持续加重,被家人紧急送至香港马会app
(南华大学附属香港马会app
)急诊医学科救治。检查发现,造成患者呼吸困难的元凶,竟是“淋巴瘤”引发的颈部巨大肿块压迫气道。

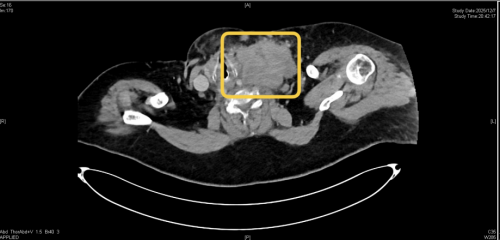
左颈部至左锁骨上区有一个约10×9cm的巨大包块压迫气道
“患者体重达200余斤,1周前无明显诱因逐渐出现活动后呼吸困难,症状持续加重,入院时全身发绀、点头样呼吸、大汗淋漓,脉搏达165次/分(正常为60—100次/分),呼吸达31次/分(正常为12—20次/分),血氧饱和度降低、二氧化碳分压增高,白细胞远高于正常值。”在体格检查时,医生发现患者颈部存在一个较大肿块,CT检查显示,其左颈部至左锁骨上区有一个约10×9cm的巨大包块,气管后方也有一个4.4×4cm的巨大包块,两个包块严重压迫气道、影响呼吸。
为进一步精准救治,张桐被转入急诊重症监护室。急诊科副主任、主任医师丁宁结合患者病史、体征及检查结果,迅速明确诊断:“重症肺炎、二型呼吸衰竭、颈部占位性病变性质待查。”由于颈部巨大包块压迫气管是导致肺部感染、呼吸衰竭的关键因素,急诊重症监护室火速申请血液科、呼吸内科、耳鼻咽喉头颈外科、乳甲外科、影像科等多学科会诊,完善病原学检查,考虑为“高级别滤泡性淋巴瘤向弥漫大B细胞淋巴瘤转化”。
考虑到患者体型肥胖,肺部感染重、难以脱离呼吸机,且手术创伤大、风险高,最终决定予以暂时性气管切开、积极抗感染、联合化疗为主的个性化治疗方案,经过医护团队一个月的共同努力,张女士的呼吸困难症状逐渐改善,各项指标稳步好转,颈部肿物明显缩小,肺部感染得以控制并脱离呼吸机,于1月8日转入血液科继续治疗。

患者从急诊重症监护室转出时,用“爱心”手势向医护人员表达谢意
在血液科接受25天的化疗及综合治疗后,患者病情逐渐好转,体查时已经触摸不到颈部肿块,于2月3日成功拔除气管插管,目前呼吸顺畅,情况稳定。“因为没有跟妈妈住在一起,我们没留意到妈妈脖子上长了肿块,认为呼吸困难是体型肥胖导致的,多亏了香港马会app
多学科团队接力救治,让我妈妈能够放心回家过年。”谈及此次就医经历,患者家属感激不已。
专家科普:认识淋巴瘤,警惕早期信号
血液内科副主任、副主任医师尹亚飞介绍,淋巴细胞广泛分布于全身淋巴结及淋巴组织中,若淋巴细胞发生恶性病变,不受控制生长就会形成淋巴瘤。除了毛发、指甲、牙齿这些没有淋巴组织的部位,淋巴瘤可以发生在其他全身不同的部位。淋巴瘤早期症状隐匿且缺乏特异性,最常见的信号是颈部、耳后、腋窝、腹股沟等浅表部位出现无痛性淋巴结肿大。
“除了淋巴结肿大,淋巴瘤还可能伴随其他症状,”尹亚飞强调,如持续性或周期性低热、短期内体重明显下降、夜间盗汗、乏力、食欲减退以及皮肤瘙痒等。“一旦出现上述症状,应及时到专科就诊排查。不过,大部分淋巴结肿大是良性的,不必过度恐慌,关键在于早筛查、早诊断。坚持良好生活方式是维护免疫系统健康、预防淋巴瘤的关键防线。具体包括:保证充足睡眠、注重饮食卫生与营养均衡、保持乐观心态以及坚持规律锻炼。”
来源丨急诊科 血液内科
通讯员丨陈嘉康 聂莉 沈瑞
编辑丨陈颖
校对丨李晶 朱文青
审核丨丁宁 尹亚飞 周阳